26 Girlandenförmig
Neue Adresse Seit Oktober 2009 Auktionshaus Ineichen Za Rich

Bildgebung Der Wirbelsaule Springerlink
Https Www Thieme Connect De Products Ebooks Pdf 10 1055 B 0037 144197 Pdf
Neckarwestheim High Resolution Stock Photography And Images Alamy
Https Encrypted Tbn0 Gstatic Com Images Q Tbn And9gcstsnuf14tv E2ekvp30dlqltnf8putcdlyfmm3bmxx7rklfp92 Usqp Cau
Https Www Thieme Connect De Products Ebooks Pdf 10 1055 B 0036 137194 Pdf
Bildgebung Der Wirbelsaule Springerlink
Resektive Parodontalchirurgie Fachgebiete Zmk Aktuell De
Https Epub Uni Regensburg De 31919 1 Diss Hardt Ver C3 B6ffentlichung Epub Pdf
Sold Price Collier Gg 18 K Kugelkette Mittelteil Girlandenformig Angeordnet Besetzt Mit Citrinen Oval Tropfen Trapezformig Und 6 Kl Brill Zus Ca 0 2 Ct Weiss Si 1 X Besch May 6 0116 11 00 Am Cest
Https Www Wuensche Synology Me Wordpress Wp Content Uploads Dd Laesionen Pdf
Https Www Bzb Online De Julaug12 50 53 Pdf
Leading Regeneration Extraktionsalveolen Therapiekonzepte Pdf Kostenfreier Download
Garlands Of Flowers Adorning A Cartouche With A Mythological Scene Karl Faber
Http Www Sciencedirect Com Science Article Pii 0016703763900826 Pdf Md5 0a1fc26a12fc1f35da35a5a922bb4770 Pid 1 S2 0 0016703763900826 Main Pdf
File Evsl1 Jpg Wikimedia Commons
Important Baroque Hall Cupboard Braunschweig Ca 1720 30 Baroque Furniture Baroque Decor Wood Carving Furniture
Https Www Thieme Connect De Products Ebooks Pdf 10 1055 B 0037 144197 Pdf
Https Www Karger Com Article Pdf 254471
Leading Regeneration Extraktionsalveolen Therapiekonzepte Pdf Kostenfreier Download
Leading Regeneration Extraktionsalveolen Therapiekonzepte Pdf Kostenfreier Download
Die Grossen Apophysen Springerlink
Leading Regeneration Extraktionsalveolen Therapiekonzepte Pdf Kostenfreier Download
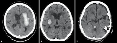
Radiologische Diagnostik Spinaler Tumoren Springerlink
Https Www Klinikum Nuernberg De De Ueber Uns Fachabteilungen Kn Kliniken Neurochir Fachinformationen High Grade Glioma Und Glioblastom Pdf
Sold Price Collier Gg 18 K Kugelkette Mittelteil Girlandenformig Angeordnet Besetzt Mit Citrinen Oval Tropfen Trapezformig Und 6 Kl Brill Zus Ca 0 2 Ct Weiss Si 1 X Besch May 6 0116 11 00 Am Cest
Graz Um 1950 Traum Dirndl Trachten Kette Silber 835 Granate Kette Silber Silber 835 Dirndl
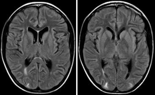
Posteriores Reversibles Leukenzephalopathiesyndrom Pres Springerlink
Https Encrypted Tbn0 Gstatic Com Images Q Tbn And9gctjxkfqajanqbokbxz3 18egw0pc9i 3 Tejc7z9xanynpjkl J Usqp Cau
Uhren Schmuck Auktion 148 Auktionshaus Ineichen Zurich Manualzz
Bildgebung Der Wirbelsaule Springerlink
Leading Regeneration Extraktionsalveolen Therapiekonzepte Pdf Kostenfreier Download
Https Encrypted Tbn0 Gstatic Com Images Q Tbn And9gcrvemr7 Fnlkalovg8dqsdwhdypdwycge8xusbqhbdyc0zlrw16 Usqp Cau
Blickdiagnostik Infektionskrankheiten Von Scharlach Bis Ringelroteln Klinik Via Medici
Https Www Thieme Connect De Products Ebooks Pdf 10 1055 B 0037 144197 Pdf
Satz Von Neun Grunderzeit Eisschalen Deutsch Um 1900 Jewellery Antiques And Art 2017 10 12 Realized Price Eur 688 Dorotheum
Blickdiagnostik Infektionskrankheiten Von Scharlach Bis Ringelroteln Klinik Via Medici
Ultra Trim Scalloping Scissors Ultradent
Https Www Thieme Connect De Products Ebooks Pdf 10 1055 B 0037 144197 Pdf
Therapie Bei Hochgradigem Gliom Glioblastom Im Kindes Und Jugendalter Via Medici Klinik
Https Www Straumann Com Content Dam Media Center Straumann De Documents Smart 490 075 Smart1 1 1 De De Pdf
Pemphigoid Bulloses Bilder Altmeyers Enzyklopadie Fachbereich Dermatologie
Zahnfleischrezession Zahnfleischschwund Ihr Zahnarzt In Essen
Https Publikationen Uni Tuebingen De Xmlui Bitstream Handle 10900 45593 Pdf Dissertationa C Eisele Pdf Sequence 1 Isallowed Y
Schwesterfraudoktor On Twitter So Guten Morgen Schwesterfraudoktormachtschlau Das Ist Ein Klassischer Ringelroteln Ausschlag Im Gesicht Wie Backpfeifen Girlandenformig Er Kann Jucken Mit Auftreten Des Exanthems Sind Rr Nicht Mehr Ansteckend
Https Www Thieme Connect De Products Ebooks Pdf 10 1055 B 0037 144197 Pdf
Https Www Thieme Connect De Products Ebooks Pdf 10 1055 B 0037 144197 Pdf
Hypoplastische Unterkieferanteile Zm Online
Radiologische Diagnostik Spinaler Tumoren Springerlink
Https Www Thieme Connect De Products Ebooks Pdf 10 1055 B 0037 144197 Pdf
Infektionen Lyme Borreliose Leptospirose Und Ruckfallfieber Springerlink
Garlands Of Flowers Adorning A Cartouche With A Mythological Scene Karl Faber
Ringelroteln Symptome Bilder Behandlung Onmeda De
220 Kv High Resolution Stock Photography And Images Alamy
Satz Von Neun Grunderzeit Eisschalen Deutsch Um 1900 Jewellery Antiques And Art 2017 10 12 Realized Price Eur 688 Dorotheum
Http Www Bodovanlaak De Download Khm Auswandererschiff 20bark 20theone Pdf
Http Www Bodovanlaak De Download Khm Auswandererschiff 20bark 20theone Pdf
File Leitung Eberdingen Riet 15112011 Jpg Wikimedia Commons
Https Www Thieme Connect De Products Ebooks Pdf 10 1055 B 0037 144197 Pdf
Leading Regeneration Extraktionsalveolen Therapiekonzepte Pdf Kostenfreier Download
High Resolution Mapping Of Ice Marginal Landforms In The Barnim Region Northeast Germany Sciencedirect
Kinderkrankheiten Erkennen Symptome In Bildern
The Virgin And Child With Saint John The Baptist In A Floral Wrea Karl Faber
Https Www Heimatforschung Regensburg De 2991 1 Ubr19428 Pdf
Neckarwestheim High Resolution Stock Photography And Images Alamy
Louis Xvi Still Anhanger Um 1930platinfassung Girlandenformig Besetzt Mit Altschliff Diamanten
Leading Regeneration Extraktionsalveolen Therapiekonzepte Pdf Kostenfreier Download
Figure 14 Plastische Parodontalchirurgie Springerlink
Biologische Breite Und Gewebetyp Was Steckt Dahinter Parodontologie Dimagazin Aktuell De
Http Www Bodovanlaak De Download Khm Auswandererschiff 20bark 20theone Pdf
Biologische Breite Und Gewebetyp Was Steckt Dahinter Parodontologie Dimagazin Aktuell De
Tegernsee Um 1950 Hubsche Trachten Dirndl Kette Silber 835 Granat Perlmutt Barnebys
Radiologische Diagnostik Spinaler Tumoren Springerlink
Color Coded Hillshade Map Of The Barnim Plateau The Ridge Structures Download Scientific Diagram
Https Www Thieme Connect De Products Ebooks Pdf 10 1055 B 0037 144197 Pdf
Https Www Nuernberg De Imperia Md Gesundheitsamt Dokumente Gh 09 02 Ringelr Teln Pdf
Management Of Odontogenic Keratocysts Of The Jaws A Ten Year Experience With 120 Consecutive Lesions Request Pdf
Radiologische Diagnostik Spinaler Tumoren Springerlink
Ringelroteln Symptome Bilder Behandlung Onmeda De
Ultra Trim Scalloping Scissors Ultradent
Glioblastom Via Medici Leichter Lernen Mehr Verstehen
Voraussetzung Oder Widerspruch Zwp Online Das Nachrichtenportal Fur Die Dentalbranche
Ringelroteln Symptome Bilder Behandlung Onmeda De











